ویتامین B3؛ امید تازه‌ای برای توقف رشد تومورهای مغزی خطرناک

ایتنا
itna.ir
دوشنبه 27 بهمن 1404
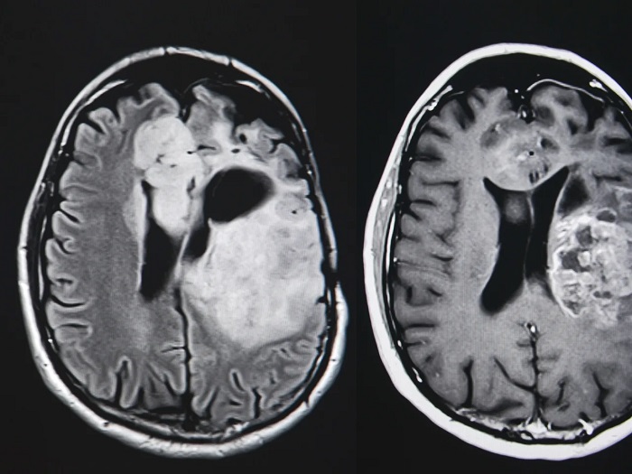
تاثیر ویتامین B3 بر تومور مغزی
پژوهشگران دریافته‌اند که دوزهای بالای ویتامین B3 می‌تواند روند پیشرفت یکی از مهاجم‌ترین تومورهای مغزی را کند کند و شاید در آینده‌ای نزدیک به راهی تازه برای افزایش طول عمر بیماران منجر شود.

پژوهشگران دریافته‌اند که دوزهای بالای ویتامین B3 می‌تواند روند پیشرفت یکی از مهاجم‌ترین تومورهای مغزی را کند کند و شاید در آینده‌ای نزدیک به راهی تازه برای افزایش طول عمر بیماران منجر شود.

مطالعه‌ای تازه که در مجله Journal of Neuro-Oncology منتشر شده است نشان می‌دهد مصرف دوزهای بالای ویتامین B3 (نیاسین یا نیکوتین‌آمید) می‌تواند سرعت پیشرفت نوعی از تومور مغزی بسیار تهاجمی به نام گلیوبلاستوما را کاهش دهد. گلیوبلاستوما یکی از مرگبارترین سرطان‌های مغز محسوب می‌شود که درمان آن معمولاً با دشواری‌های فراوانی همراه است و میانگین طول عمر بیماران مبتلا به آن کمتر از دو سال گزارش می‌شود.

به نقل از med.news.am، در این پژوهش، محققان دریافتند که مصرف مقادیر زیاد نیکوتین‌آمید می‌تواند با تقویت برخی از مسیرهای دفاعی سلول‌های ایمنی بدن، آنها را در تشخیص و نابودی سلول‌های سرطانی مؤثرتر کند. به‌ویژه مشاهده شد که این ویتامین موجب فعال‌تر شدن ماکروفاژها و سلول‌های T درون تومور می‌شود و در نتیجه رشد توده‌ی سرطانی را کند می‌کند.

به گفته‌ی تیم تحقیق، در مدل‌های حیوانی، ویتامین B3 توانست نه‌تنها از گسترش تومور جلوگیری کند، بلکه حساسیت سلول‌های سرطانی به شیمی‌درمانی را نیز افزایش دهد. این نتیجه‌ها می‌تواند پایه‌گذار راهبردهای درمانی نوینی باشد که در آن ترکیب مکمل‌های تغذیه‌ای با درمان‌های سرطان باعث بهبود پاسخ بدن به درمان شود.

البته پژوهشگران تأکید کرده‌اند که این یافته‌ها هنوز در مراحل اولیه قرار دارند و انجام آزمایش‌های بالینی انسانی برای تأیید اثربخشی و ایمنی دوزهای بالای این ویتامین ضروری است. زیرا مصرف بیش از حد ویتامین B3 می‌تواند عوارضی همچون مشکلات کبدی و واکنش‌های پوستی به همراه داشته باشد.

دکتر «ماریا کالینز»، سرپرست این پروژه، گفت: «جالب است که ماده‌ای به‌سادگی یک ویتامین می‌تواند چنین تأثیر چشمگیری بر مسیرهای دفاعی بدن بگذارد. اما باید با دقت پیش رفت تا بتوان از این پتانسیل در بیماران انسانی به‌طور ایمن استفاده کرد.»

به باور کارشناسان، اگر نتایج این تحقیقات در انسان تکرار شود، ویتامین B3 ممکن است به عنوان یک مکمل کم‌هزینه و در دسترس، نقشی حمایتی در کنار درمان‌های استاندارد سرطان مغز ایفا کند و امیدی تازه برای بیماران به ارمغان آورد.

نظرات کاربرانکپی متنکپی لینک